想知道牙貼怎麼選?專業牙貼推薦指南來了!美白牙貼真的有效嗎?瓷牙貼片和免磨牙瓷牙貼片有什麼差別?做牙齒貼片後遺症有哪些?本文完整解析各類牙齒美白方式優缺點,從居家牙貼到專業瓷牙貼片,幫你找到最適合的美白方案,輕鬆擁有亮白笑容!
牙貼推薦
在診間,常有患者拿著五花八門的牙貼產品問我:「醫生,這個真的好用嗎?您有沒有推薦的?」選擇合適的牙貼推薦產品,確實需要專業眼光評估。我的牙貼推薦首要考量,永遠是安全性和有效性。
市售牙貼產品的種類與選擇要點
市面上的牙貼大致分為兩大類:居家美白牙貼與專業瓷牙貼片輔助產品。針對單純齒色暗沉、煙漬茶漬者,若齒質健康無敏感病史,可考慮低濃度過氧化物的居家美白牙貼。選擇時務必注意:
- 藥劑濃度標示明確:過氧化氫(H2O2)或過氧化脲(CP)濃度是效果與風險的關鍵。
- 貼合度設計:牙齒形狀弧度貼合度高的產品,能減少凝膠外漏刺激牙齦。
- 國際認證:如美國FDA或台灣TFDA核准,相對有保障。
在我的牙貼推薦清單中,通過大型臨床試驗的品牌優先,而非僅看網路聲量。例如,針對輕中度四環黴素染色,我會牙貼推薦特定含磷矽酸鈣成分的產品,溫和度較高。
專業牙科診所內的牙貼推薦
對於齒列不整、嚴重染色或追求極致美白的患者,診所內的牙貼推薦則是客製化瓷牙貼片。這包含了傳統瓷牙貼片與新式的免磨牙瓷牙貼片。專業牙貼推薦的優勢在於:
- 精確診斷:透過口內掃描、比色板、數位微笑設計(DSD)預覽效果。
- 量身訂製:技師根據個人齒形、臉型、膚色打造專屬瓷貼片。
- 材料可控:選用頂級二矽酸鋰或藍寶石瓷塊,強度與透光性更優異。
我對追求自然美的患者,常牙貼推薦微創方案;針對重度染色或缺損,則建議強度更高的全瓷貼片。
不同族群與需求的牙貼推薦策略
孕婦、青少年、嚴重牙齦萎縮或琺瑯質發育不全者,使用任何美白牙貼都需格外謹慎。我的牙貼推薦策略是:
- 青少年:優先處理蛀牙與矯正,牙齒貼片需成年後評估。
- 牙齦萎縮敏感:先治療牙根覆蓋或脫敏,再考慮低濃度凝膠搭配專用抗敏牙膏。
- 重度咖啡茶癮者:美白牙貼後需搭配維持劑,並建議改用吸管飲用。
臨床上,我會準備一份不同需求對應的牙貼推薦對照表供患者參考,避免選擇錯誤。
牙齒貼片後遺症
患者常懷抱美好憧憬進行牙齒貼片療程,卻忽略了潛在的牙齒貼片後遺症風險。身為醫師,我必須坦誠告知所有可能性,這是專業倫理也是對患者負責。
常見的短期牙齒貼片後遺症
術後一週內,幾種牙齒貼片後遺症較常出現:
- 冷熱敏感:因牙齒預備時琺瑯質微創,或黏著劑刺激牙本質小管。通常2-4週緩解。
- 牙齦紅腫或輕微出血:印模材刺激或臨時貼片邊緣不密合造成。需加強清潔與消炎藥膏。
- 咬合不適:貼片厚度改變咬合高度,需及時回診調整。
我會在術前說明這些牙齒貼片後遺症多屬暫時性,並提供術後護理包,內含抗敏牙膏、單束毛牙刷與牙齦修護凝膠。
不可逆的長期牙齒貼片後遺症
部分牙齒貼片後遺症源於不當的適應症選擇或操作瑕疵,可能造成永久影響:
- 牙髓神經損傷:過度修磨齒質或雷射能量過高導致牙髓炎,需根管治療。
- 次發性蛀牙:貼片邊緣密合度不足,細菌侵入黏著層下腐蝕真牙。
- 牙齦萎縮與黑邊:貼片邊緣壓迫牙齦或材質生物相容性差,導致牙齦退縮露出金屬或黏著劑黑線。
這些牙齒貼片後遺症凸顯了醫師經驗的重要性。我堅持使用顯微鏡輔助修牙,確保邊緣精準度在20微米內,大幅降低風險。
如何預防與處理牙齒貼片後遺症
預防勝於治療,我的臨床策略從源頭降低牙齒貼片後遺症:
- 嚴格適應症篩選:深咬、嚴重磨牙、口腔衛生不良者優先矯正或治療。
- 微創修磨準則:前牙唇側修磨限0.3-0.5mm,切端不超過1mm。
- 數位化輔助:口內掃描取代傳統印模,減少牙齦壓迫;CAD/CAM設計確保貼片厚度均勻。
- 定期追蹤制度:貼片後第1、3、6個月回診檢查邊緣密合與咬合。
一旦出現牙齒貼片後遺症,依嚴重程度採取補綴物調整、邊緣再拋光或拆除重做。
美白牙貼
美白牙貼可說是普及率最高的居家牙齒美白產品,但其效果差異極大,濫用導致的牙齒敏感更屢見不鮮。作為醫師,我需要釐清迷思,提供科學化的使用指引。
美白牙貼的作用機制與成分解析
市售美白牙貼主要成分為:
- 過氧化物:過氧化氫(H2O2)或過氧化脲(CP),濃度從3%到10%不等。CP在口腔中會分解為H2O2與尿素,作用較溫和。
- pH緩衝劑:如磷酸鹽,維持凝膠酸鹼值避免過酸傷琺瑯質。
- 增稠劑與保濕劑:卡波姆(Carbomer)、甘油等,延長凝膠附著時間。
美白牙貼的藥效分子穿透琺瑯質,分解牙本質小管內的色素大分子(如咖啡單寧酸、菸焦油),達到氧化漂白效果。濃度越高、作用時間越長,效果越顯著,但刺激風險也倍增。
美白牙貼的正確使用與禁忌症
在我的衛教中,會特別強調美白牙貼的正確操作:
- 使用前:徹底清潔牙齒並擦乾表面,避免口水稀釋凝膠。
- 貼附時:手指按壓貼片完全貼合牙面,尤其齒頸部勿留氣泡。
- 作用時間:嚴格遵守說明書,勿為求快而延長,每次不超過60分鐘。
- 使用後:輕柔移除,溫水漱口,30分鐘內避免飲食有色物質。
絕對禁忌症包含:未治療蛀牙、牙周炎急性期、未癒合口腔潰瘍、孕哺乳婦女、嚴重牙本質暴露者。有補牙或假牙者需知悉美白牙貼對樹脂或陶瓷無效,可能造成色差。
美白牙貼的實際效果評估與風險管理
根據臨床研究,合格的美白牙貼連續使用14天,約可提升牙齒色階(Vita Shade Guide) 5-8階。但需注意:
- 個體差異:琺瑯質厚度、原生齒色、色素類型影響效果。
- 反彈效應:停用後6-12個月內齒色會逐漸回退約30%。
- 敏感性管理:約35%使用者會出現暫時性敏感,建議搭配含鉀離子或NovaMin的抗敏牙膏交替使用。
我常提醒患者,若使用美白牙貼後出現劇烈痠痛或牙齦泛白潰瘍,應立即停用並就診。
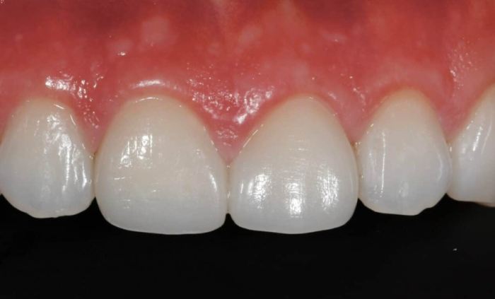
瓷牙貼片
當患者追求的是全面性齒列美學重建時,瓷牙貼片便成為我的終極武器。這絕非單純黏上瓷片那麼簡單,而是融合牙科技術與藝術的精密工程。
瓷牙貼片的類型與材料科學
瓷牙貼片的核心在材料學演進。我依據患者需求量身選材:
- 傳統長石瓷:美觀自然,透光性佳,但強度較低(約100MPa),適用於受力小的前牙。
- 二矽酸鋰玻璃陶瓷(如e.max):強度達400MPa,可製作較薄的貼片(0.3mm),透光度分層技術優異,是我的主流選擇。
- 氧化鋯強化瓷:強度最高(超過1000MPa),適用於需要支撐咬合力的部位,但透光性較差,需精準染色仿生。
選擇瓷牙貼片就像挑寶石,需平衡強度、透光度、乳光效果(Opalescence)與螢光反應(Fluorescence),才能在任何光源下都自然。
瓷牙貼片的臨床操作關鍵步驟
成功的瓷牙貼片療程,需嚴格執行標準流程:
- 診斷蠟型(Diagnostic Wax-up):在模型上重塑理想齒形,翻製成試戴牙套(Mock-up),讓患者預覽效果。
- 牙體預備:依據設計圖精準修磨,保留最大琺瑯質。關鍵區域如鄰接面邊緣需呈現羽狀(Feather Edge),齦緣則為對接式(Butt Joint)或輕微肩台(Chamfer)。
- 數位印模:口內掃描儀取得3D模型,避免傳統印模材變形。
- 黏著技術:選用光固化樹脂水門汀,搭配不同遮色度的糊劑調整最終色澤。黏著時需隔濕徹底,分區光照固化。
我堅持全程使用橡皮障隔離,並在顯微鏡下確認邊緣密合度,這是預防後續問題的基石。
瓷牙貼片的壽命影響因素與維護
高品質瓷牙貼片平均壽命10-15年,延長使用期的關鍵在於:
- 咬合設計:前導(Occlusal Guidance)需分散咬合力,避免貼片切端承受過大撞擊。
- 材質選擇:磨牙症患者需選用e.max或氧化鋯,避免長石瓷碎裂。
- 清潔工具:使用尼龍塗層的超細尖牙間刷(如TePe®)清潔貼片鄰接面,避免金屬刮針。
- 定期拋光:每半年回診用鑽石微粒拋光膏維護表面光潔度,減少色素沈積。
在我的追蹤紀錄中,嚴格遵守維護指南的患者,其瓷牙貼片20年存活率可達85%。
免磨牙瓷牙貼片
隨著黏著技術與材料強度突破,「不修牙」的免磨牙瓷牙貼片(如LUMINEERS®)成為熱門選項。但這並非萬靈丹,需嚴守適應症才能避免失敗。
免磨牙瓷牙貼片的技術核心與適應症
免磨牙瓷牙貼片的關鍵在於:
- 超薄設計:厚度僅0.2mm,以專利透光瓷材製作。
- 專利黏著劑:含特殊改質樹脂,能在未酸蝕的琺瑯質表面形成強力鍵結。
- 齒形限制:需滿足以下條件:齒列整齊無旋轉、無深咬或暴牙、足夠的唇側空間、齒色不過深(否則需遮色層影響透光度)。
我評估免磨牙瓷牙貼片的黃金適應症是:輕微齒縫、小範圍齒損(如切角缺損)、原生齒色B1-A2且齒形尚可者。若齒列擁擠仍強行黏貼,會導致牙齦壓迫或貼片過凸像「馬牙」。
免磨牙 vs. 傳統瓷牙貼片的關鍵差異
為避免患者誤解,我製作對照表說明核心差異:
| 項目 | 免磨牙瓷牙貼片 | 傳統瓷牙貼片 |
| 齒質修磨量 | 通常零修磨 | 0.3-0.7mm |
| 貼片厚度 | 0.2-0.3mm | 0.5-1.0mm |
| 可改善範圍 | 齒色、微縫隙、小缺損 | 齒色、形狀、旋轉、長短不齊 |
| 咬合影響 | 可能需少量調整對咬牙 | 咬合需全面重建 |
| 不可逆性 | 理論上可拆除復原 | 修磨後不可逆 |
| 使用壽命 | 5-10年(邊緣易微滲漏) | 10-15年以上 |
需強調:免磨牙瓷牙貼片若超出適應症使用,脫落率與二次蛀牙風險更高。
免磨牙瓷牙貼片的臨床成功案例與誤區
我曾為一位電視主播成功施作免磨牙瓷牙貼片:她原生齒色佳(A2),但門牙有小切角缺損且拍攝時齒縫顯眼。使用LUMINEERS®關閉縫隙並修復切角,全程無麻醉無修牙,術後當天即回工作崗位。
然而,更多失敗案例源於誤區:
- 誤區1:「免磨牙等於完全不修牙」→ 實務上約30%案例需微調鄰接面或咬合面。
- 誤區2:「適合所有人」→ 四環黴素染色、嚴重齒列不整者效果差。
- 誤區3:「永不脫落」→ 黏著劑仍可能老化,需避免啃咬硬物。
我的原則是:誠實告知免磨牙瓷牙貼片的極限,不為商業利益過度承諾。
Q&A:牙貼常見疑問專業解惑

Q1: 牙貼真的有用嗎?
有效性取決於類型與預期。針對外因性染色(如飲食、吸菸),含過氧化物的美白牙貼經研究證實可提升色階。但對內因性染色(如四環黴素)、氟斑症或死髓牙效果有限。專業瓷牙貼片則能徹底改變齒色與形態,是結構性問題的終極解方。
Q2: 牙貼可以每天用嗎?
絕對不宜!居家美白牙貼需嚴格遵循週期(如14天療程),過度使用會導致琺瑯質脫鈣、牙齦化學灼傷甚至牙髓炎。專業瓷牙貼片或免磨牙瓷牙貼片黏著後屬永久修復體,無需重複使用。若追求美白維持,建議每年回診評估,必要時進行1-2次加強療程。
Q3: 牙齒貼片怎麼保養?
貼片保養三關鍵: 1. 清潔工具:使用軟毛牙刷、非研磨性牙膏(如Sensodyne ProEmail®)及塑膠塗層牙線。禁用金屬刮舌器或硬毛刷。 2. 飲食禁忌:避免直接啃咬硬物(冰塊、蟹殼),咖啡茶飲用後清水漱口。 3. 定期回診:每半年檢查邊緣密合度、咬合及牙齦健康。專業拋光可維持瓷面光澤。
Q4: 牙齒美白貼片有用嗎?
此處需釐清名詞: • 「牙齒美白貼片」通常指居家美白牙貼(Whitening Strips),對輕度染色有效但無法改變齒形。 • 專業的「瓷牙貼片」具備美白與重塑雙重效果。 因此,若目標是齒色提升1-2個色階,美白牙貼足矣;若需改善形狀、關閉縫隙或重度美白,則專業瓷牙貼片才是正解。
Q5: 牙貼片如何延長壽命?
延長瓷牙貼片或免磨牙瓷牙貼片壽命的實證策略: • 夜間防護:磨牙患者務必配戴咬合板,分散咬合壓力。 • 咀嚼習慣:前牙避免撕裂食物,多用後臼齒咀嚼。 • 黏著強化:選擇含MDP單體成分的樹脂水門汀(如Panavia™),提升與瓷材結合力。 • 結構補強:大範圍貼片建議採用跨牙縫的翼狀設計(Splinted Veneers),增加抗折性。