什麼是扁平苔癬?扁平苔癬是一種慢性發炎的皮膚疾病,也可能影響口腔黏膜。扁平苔癬原因包括免疫系統異常、遺傳因素或藥物反應等。口腔扁平苔蘚症狀常見為白色網狀條紋、潰瘍或灼痛感,嚴重時影響進食。口腔扁平苔蘚治療方式包含局部類固醇藥膏、口服藥物或雷射手術,需由醫師評估制定個人化療程。及早診治可有效控制扁平苔癬症狀,避免惡化。
什麼是扁平苔蘚
(一)什麼是扁平苔癬
扁平苔蘚(Lichen Planus)是一種慢性發炎性皮膚黏膜疾病,其名稱來源於其特有的臨床表現——扁平狀的丘疹或斑塊,表面覆蓋著白色網狀或細小鱗屑,類似於苔蘚的質感。這種疾病可以影響皮膚、黏膜(尤其是口腔黏膜)、指甲,甚至頭髮,給患者帶來不小的困擾。
(二)扁平苔蘚的流行病學
扁平苔蘚在全球範圍內均有報導,但具體發病率因地區、種族及研究方法的不同而有所差異。一般而言,中年女性較男性更易受累,這可能與女性體內激素水平的變化有關。此外,扁平苔蘚並非傳染病,它不會通過直接接觸或空氣傳播,這一點對於消除公眾的誤解至關重要。
(三)扁平苔蘚的臨床分型
扁平苔蘚根據其累及的部位和臨床表現,可分為多種類型,包括但不限於:
- 皮膚型扁平苔蘚:最常見,表現為四肢、軀幹或生殖器部位的紫色或紫紅色扁平丘疹,伴有瘙癢。
- 口腔扁平苔蘚:特指累及口腔黏膜的類型,是本文重點討論的對象,其症狀複雜多樣,影響患者的生活質量。
- 指甲型扁平苔蘚:影響指甲,導致指甲變薄、變形,甚至脫落。
- 頭髮型扁平苔蘚:極為罕見,表現為頭皮上的紅斑和脫髮。
(四)扁平苔蘚的病理生理學
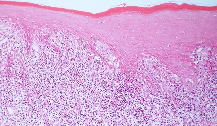
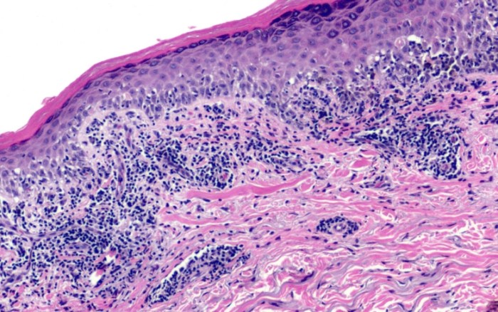
扁平苔蘚的確切病因尚未完全闡明,但普遍認為與免疫系統的異常反應有關。在組織學上,扁平苔蘚的病變部位可見到表皮層增厚、基底細胞液化變性,以及真皮層內淋巴細胞的浸潤。這些變化反映了機體對自身組織的免疫攻擊,即所謂的“自身免疫”現象。
(五)扁平苔蘚的診斷與鑒別診斷
診斷扁平苔蘚主要依賴於臨床表現、組織病理學檢查以及必要的實驗室檢查。由於扁平苔蘚的臨床表現多樣,有時需與其他皮膚黏膜疾病相鑒別,如扁平疣、銀屑病、口腔白斑等。組織病理學檢查是確診的金標準,它可以直接觀察到病變組織的典型改變。
扁平苔蘚原因
(一)扁平苔癬原因:免疫因素
- T細胞介導的免疫反應:扁平苔蘚被認為是由T細胞介導的自身免疫性疾病。在病變組織中,可發現大量的CD8+ T細胞浸潤,這些細胞可能針對表皮基底膜帶的抗原產生免疫反應,導致組織損傷。
- 細胞因子和介質的作用:在扁平苔蘚的發病過程中,多種細胞因子和介質如TNF-α、IFN-γ、IL-2等參與其中,它們可以調節免疫細胞的活性和功能,促進炎症反應的發生和發展。

(二)扁平苔癬原因:遺傳因素
- 家族聚集性:部分扁平苔蘚患者有家族史,提示遺傳因素在疾病發病中可能扮演一定角色。然而,至今尚未發現特異性的致病基因,遺傳因素的作用機制仍需進一步研究。
- HLA關聯性:人類白細胞抗原(HLA)系統與多種自身免疫性疾病的發病有關。一些研究發現,扁平苔蘚患者中HLA-DR1、HLA-DQ1等位點的頻率較高,但這些關聯並非絕對,且存在種族和地域差異。
(三)扁平苔癬原因:環境因素
- 感染因素:雖然扁平苔蘚不是由感染直接引起的,但某些病毒感染(如丙型肝炎病毒)可能觸發或加重扁平苔蘚的病情。這可能是因為病毒感染改變了機體的免疫狀態,誘發了自身免疫反應。
- 藥物因素:某些藥物如非甾體抗炎藥、β受體阻滯劑、金劑等,被認為可能誘發扁平苔蘚。這類藥物可能通過影響機體的免疫系統或直接損傷組織,觸發扁平苔蘚的發病。
- 精神心理因素:長期的精神壓力、焦慮、抑鬱等負面情緒,可能影響機體的免疫功能,增加扁平苔蘚的發病風險。這提示我們,在扁平苔蘚的治療和預防中,關注患者的心理健康同樣重要。
(四)扁平苔癬原因:其他因素
- 內分泌因素:女性扁平苔蘚患者的發病率較高,且部分患者病情與月經周期、妊娠等內分泌變化有關。這表明內分泌因素可能在扁平苔蘚的發病中起到一定作用。
- 代謝因素:糖尿病、高脂血症等代謝性疾病,可能通過影響機體的內環境穩態,增加扁平苔蘚的發病風險。
口腔扁平苔蘚症狀
(一)口腔黏膜的典型表現
- 網狀白紋:口腔扁平苔蘚最常見的臨床表現是口腔黏膜上出現網狀或環狀的白紋,這些白紋可能單發或多發,形態不規則,邊緣清晰。
- 丘疹、斑塊:在白紋的基礎上,可出現散在或簇集的丘疹、斑塊,表面可能光滑或粗糙,顏色可為白色、灰白色或淡紅色。
- 糜爛、潰瘍:部分患者口腔黏膜可出現糜爛或潰瘍,表現為黏膜的破損、出血和疼痛,嚴重影響進食和說話。

(二)口腔扁平苔蘚的伴發症狀
- 口腔乾燥:由於口腔黏膜的炎症和損傷,部分患者可感到口腔乾燥,需要頻繁飲水以緩解不適。
- 味覺改變:口腔扁平苔蘚可能影響味覺感受器,導致味覺減退或異常,如喪失甜味或苦味感知。
- 口腔異味:由於口腔內細菌滋生和炎症產物的積聚,部分患者可出現口腔異味,影響社交和生活質量。
(三)口腔扁平苔蘚的系統性表現
雖然口腔扁平苔蘚主要累及口腔黏膜,但部分患者可能伴有全身性症狀,如發熱、乏力、關節疼痛等。這些症狀可能與機體的免疫反應和炎症介質的釋放有關。
(四)口腔扁平苔蘚的複發與惡變
口腔扁平苔蘚具有複發性,部分患者病情可能反覆發作,難以徹底治癒。此外,長期存在的口腔扁平苔蘚有惡變為口腔癌的風險,尤其是伴有糜爛、潰瘍等損傷的患者。因此,對於口腔扁平苔蘚患者,定期的口腔檢查和隨訪至關重要。
(五)口腔扁平苔蘚症狀的鑒別診斷
在診斷口腔扁平苔蘚時,需與其他口腔黏膜疾病相鑒別,如口腔白斑、口腔紅斑、口腔念珠菌病等。這些疾病在臨床表現和病理改變上可能存在相似之處,但通過詳細的病史詢問、體格檢查和必要的實驗室檢查,可以進行準確的鑒別。
口腔扁平苔蘚治療
(一)治療前檢查
- 全面口腔檢查:包括口腔黏膜的視診、觸診,以及必要的輔助檢查如口腔X光片、CT等,以評估病變的範圍和程度。
- 實驗室檢查:包括血常規、生化檢查、免疫學檢查等,以了解患者的全身狀況和免疫功能。
- 組織病理學檢查:對於疑似口腔扁平苔蘚的病變,應進行組織病理學檢查以確診。

(二)治療方法
- 局部治療:
- 外用藥物:如糖皮質激素類藥膏、免疫調節劑等,可直接作用於病變部位,減輕炎症反應。
- 物理治療:如激光、冷凍等,可用於去除病變組織,促進黏膜的修復。
- 全身治療:
- 免疫抑制劑:如環孢素A、他克莫司等,可用於控制嚴重的免疫反應。
- 生物製劑:如抗TNF-α單克隆抗體等,可用於難治性口腔扁平苔蘚的治療。
- 中醫中藥:中醫認為口腔扁平苔蘚與機體內環境失衡有關,因此可採用中藥調理機體,改善症狀。
- 心理治療:
- 針對患者可能存在的焦慮、抑鬱等負面情緒,進行心理疏導和支持,幫助患者建立積極的心態,配合治療。
(三)治療注意事項
- 個體化治療:根據患者的年齡、病情、全身狀況等因素,制定個體化的治療方案。
- 長期隨訪:口腔扁平苔蘚具有複發性,患者需定期進行口腔檢查和隨訪,以及時發現並處理複發或惡變的情況。
- 避免誘因:患者應盡量避免可能誘發或加重病情的因素,如精神壓力、不良飲食習慣、吸煙等。
(四)治療後養護
- 口腔衛生:保持口腔衛生,定期刷牙、漱口,使用牙線清潔牙縫,以減少口腔內細菌的滋生。
- 飲食調理:避免食用辛辣、刺激性食物,多食用富含維生素和礦物質的食物,如新鮮蔬菜、水果等,以促進口腔黏膜的修復。
- 生活方式調整:保持充足的睡眠,適當進行體育鍛煉,增強機體免疫力,減少疾病復發的風險。

Q&A
1. 口腔扁平苔蘚會傳染嗎?
口腔扁平苔蘚不是傳染病,它不會通過直接接觸或空氣傳播。因此,與口腔扁平苔蘚患者接觸或共用生活用品,如餐具、毛巾等,都不會被傳染。
2. 扁平苔患者的檢出率有何差異?
扁平苔蘚的檢出率因地區、種族、年齡、性別以及研究方法的不同而有所差異。一般而言,中年女性較男性更易受累,這可能與女性體內激素水平的變化有關。此外,某些地區或種族的人群中,扁平苔蘚的發病率可能較高,這可能與遺傳因素、環境因素或生活習慣等有關。因此,在評估扁平苔蘚的檢出率時,需要綜合考慮多種因素。
3. 口腔扁平苔的特徵是什麼?
口腔扁平苔蘚的特徵主要包括:
- 臨床表現:口腔黏膜上出現網狀、環狀的白紋,伴有丘疹、斑塊、糜爛或潰瘍等損傷。
- 組織病理學改變:表皮層增厚,基底細胞液化變性,真皮層內淋巴細胞浸潤。
- 免疫學異常:機體存在免疫系統的異常反應,尤其是T細胞介導的免疫反應。
- 複發性:病情可能反覆發作,難以徹底治癒。
- 惡變風險:長期存在的口腔扁平苔蘚有惡變為口腔癌的風險。